Выравнивание зубов и исправление прикуса любой сложности
Москва, ул. Братиславская, 6 подъезд 2, офис 109
м. Братиславская
Режим работы
Пн-Сб 10:00–20:00
Вс – Выходной
  • /
  • /
Исправление неправильного прикуса у детей
Оптимальный возраст для проведения ортодонтического лечения 9-14 лет. К этому времени у ребенка завершается прорезывание постоянных зубов и продолжается период активного роста. Поэтому ортодонтическое лечение в этот период в большинстве случаев максимально эффективно.

Если вы не замечаете у своего ребенка каких-либо явных проблем с прикусом, то первый визит к врачу-ортодонту мы советуем нанести в возрасте 7 лет. К этому времени прорезывается достаточное количество постоянных зубов, чтобы ортодонт мог выявить наличие какой-либо патологии в развитии челюстей и положении зубов и определить целесообразность раннего начала ортодонтического лечения.
В каком возрасте нужно показать ребенка ортодонту?
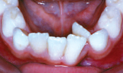
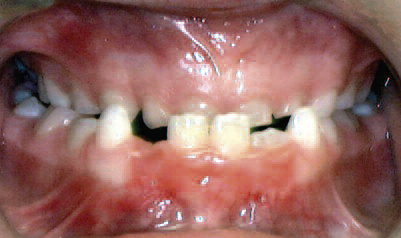
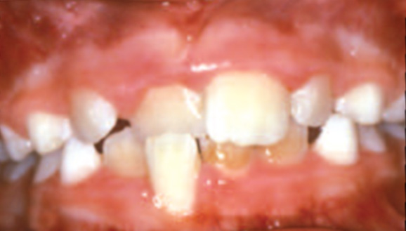
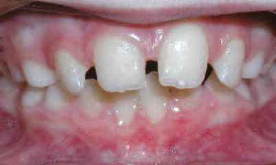
Какой прикус зубов считать неправильным?
К ситуациям, когда ребенка нужно показать врачу как можно раньше, относятся следующие:
В переднем отделе один или несколько зубов верхней челюсти находятся позади нижних при смыкании зубов.
Имеется явная асимметрия лица, смещение подбородка в сторону, при смыкании зубов задние нижние зубы перекрывают верхние с одной или с двух сторон.
При смыкании зубов нижние передние зубы находятся впереди верхних.
Нижняя челюсть отстает в росте от верхней челюсти, при смыкании зубов нижние зубы находятся значительно позади верхних.
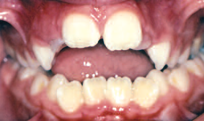
Зубы смыкаются в только в боковых отделах, а в переднем имеется щель между зубами (часто в этом случае у ребенка есть привычка сосать палец).
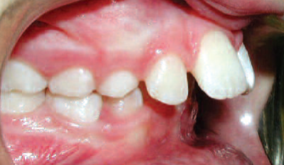
Один или несколько зубов прорезаются вне пределов зубного ряда.
Щель между передними зубами более 2 мм.
Кто отвечает за вашу яркую улыбку
Наши ортодонты и гигиенисты с опытом работы более 20 лет постоянно обучаются и внедряют современные технологии лечения и выправления зубов.
Поэтому вы можете быть уверены: лечение вашего ребенка пройдет без осложнений и с максимальным комфортом!
Рюмина Ольга Алексеевна
Руководитель клиники
врач-ортодонт
Голованова Юлия Павловна
гигиенист стоматологический
Стоимость ортодонтических аппаратов для детей
*Стоимость лечения
В указанную стоимость лечения включено одно плановое посещение. Полная стоимость лечения будет зависеть от количества посещений. Плановых посещений может быть от 3 до 10 в зависимости от клинического случая.